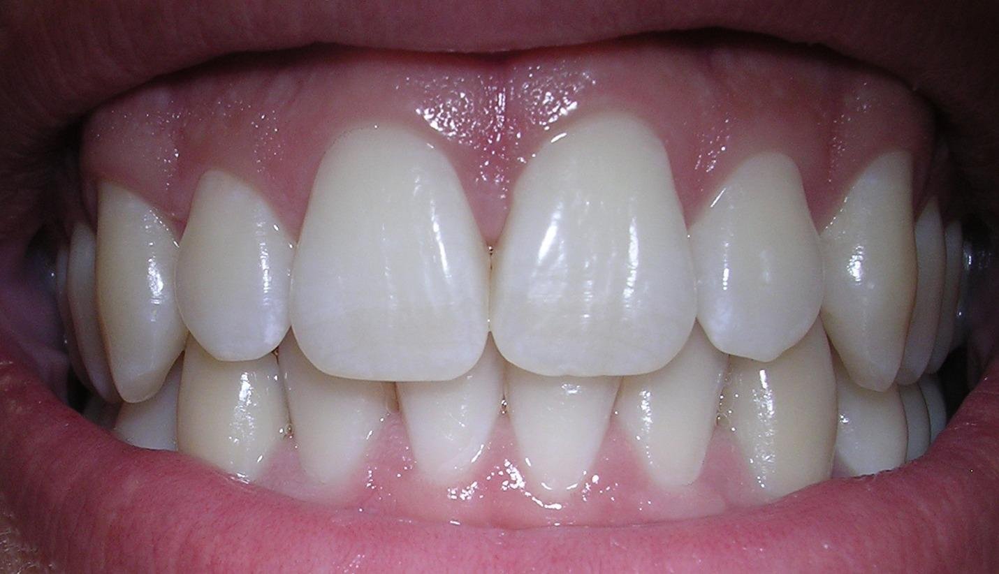
Crown and Bridge Restorations:


Zirconia (Zirconium Dioxide)

  • Indications — Posterior molars, bruxism, and high‑load functional cases.
  • Optical properties — More opaque; 5Y‑TZP offers improved translucency for anterior use .
  • Strength — Very high fracture resistance; 3Y‑TZP is the strongest class .
  • Preparation — Conservative reduction; flexible cementation options.
  • Biocompatibility — Metal‑free, hypoallergenic, stable soft‑tissue integration.
  • Limitations — Less lifelike translucency than Emax.

Emax (Lithium Disilicate)

  • Indications — Anterior teeth and premolars where translucency and shade accuracy matter most.
  • Optical properties — High translucency with enamel like light transmission.
  • Strength — Moderate; suitable for low to medium occlusal load.
  • Preparation — Slightly less conservative with strong adhesive bonding.
  • Biocompatibility — Fully ceramic, metal free, stable soft tissue response.
  • Limitations — Not recommended for heavy function or posterior molars.

Plus porcelain bonded crowns and bridges, composite and metal crowns

In-house Patient Shade matching:


Usually a 15 minute appointment where we can assess a patient's dentition, enabling us to blend the restoration to the adjacent teeth, using Classic and 3D Vita shade guides

Patients are welcome to the laboratory, by appointment.

Implant Restorations:


We fabricate custom abutments, single‑unit crowns, multi‑unit bridges, and full‑arch All‑on‑Four prosthetics. Our workflow supports Straumann, Nobel Biocare, Dentsply Sirona, Osstem, and Neoss implant platforms. Digital design is completed through Straumann CARES Scan & Shape and ATLANTIS, enabling consistent fit, accurate emergence profiles, and reliable long‑term performance.
  • Restorations: Custom abutments, crowns, bridges, All‑on‑Four full‑arch solutions
  • Popular Implant systems supported: Straumann, Nobel Biocare, Dentsply Sirona, Osstem, Neoss
  • Digital workflows: Straumann CARES Scan & Shape, Dentsply Sirona ATLANTIS milling centres


Digital Scan Intake & 3D Printed Model Production:


  • 3Shape TRIOS (via 3Shape Communicate)‍ ‍

  • iTero (send to our lab through your iTero account)

  • Primescan / CEREC (STL export or DS Core Portal)

  • Medit i500 / i700 (Medit Link or STL upload)

  • Shining3D Aoralscan (STL or cloud share)

  • Dexis IS scanners (Dexis IS Connect or STL)


Modern practices rely on fast, accurate, and flexible digital workflows. We accept intraoral scans from all major systems — 3Shape, iTero, Primescan, Medit, Shining3D, and Dexis — and convert them into highly accurate 3D printed diagnostic and working models.


What We Accept:

Removable Prosthetics:


Custom-Made Sports Mouthguards

Custom sports mouthguards are designed to protect teeth, gums, and jaws during high‑impact sports such as rugby, boxing, hockey, karate, football, and martial arts.
Compared with over‑the‑counter guards, custom versions offer:

Superior fit — moulded from dental impressions for comfort and stability.

Better protection — reduces risk of dental trauma, fractures, and soft‑tissue injuries.

Improved breathing and speech — especially important for contact sports.

Durability — made from multi‑layered, pressure‑laminated materials.

These are ideal for athletes of all ages, including children in school sports programmes.

Nightguards (Bruxism Guards)

Nightguards are worn during sleep to protect teeth from grinding (bruxism) and clenching. They help:

Prevent enamel wear and fractures

Reduce jaw pain and morning headaches

Protect existing dental work such as crowns and veneers

Minimise TMJ strain

Options typically include soft, dual‑laminate, and hard acrylic guards depending on severity and comfort needs.

Bleaching Trays (Whitening Trays)

Custom whitening trays ensure even, controlled application of whitening gel. Benefits include:

Precise fit for reduced gum irritation

Even whitening across all visible teeth

Reusable for future touch‑ups

Compatible with professional‑grade whitening gels

These are commonly used as part of a dentist‑supervised whitening plan.

Orthodontic Appliances:


Essix retainers are clear, vacuum‑formed appliances designed to maintain tooth position following orthodontic treatment. Each retainer is fabricated using a precise digital or physical impression to ensure an accurate, comfortable fit. The low‑profile design provides excellent aesthetics while delivering reliable post‑treatment stability.

Essix Retainers

  • Custom‑fit accuracy — produced from clinician‑supplied scans or impressions for optimal adaptation and retention.
  • High‑clarity thermoplastic — durable, stain‑resistant materials that maintain transparency over time.
  • Slim, comfortable profile — ideal for long‑term nightly wear without bulk or irritation.
  • Versatile fabrication options — available in multiple thicknesses to suit patient needs and clinician preference.
  • Efficient turnaround — consistent, dependable production times to support seamless patient care.

Denture Repairs:


  • Cracked or fractured dentures, tooth fallen off — restoring strength and comfort.

  • Fast turnaroundsame day repairs whenever possible.

  • High quality materials — durable, natural looking results.


Open to the public, call for details.